ความรู้เกี่ยวกับ "การแปะผิวหน้าฟัน (Veneer)"




เลือกหัวข้อที่ต้องการอ่าน
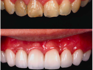
การแปะผิวหน้าฟัน (Veneer) คืออะไร ?
วีเนียร์ หรือการแปะผิวหน้าฟัน เป็นวิธีการปรับเปลี่ยนสีผิวและรูปร่างฟันให้ขาวขึ้นและเรียงเรียบสวยงามแบบถาวร โดยกรอผิวหน้าฟันออกบางๆ แล้วแปะทับแทนที่ด้วยวัสดุสีเหมือนฟันที่ขาวขึ้นและให้ได้รูปร่าง การเรียงตัวตามที่ต้องการ โดยทั่วไปนิยมทำที่ฟันหน้าบนหรือล่าง จำนวน 6-8 ซี่
วีเนียร์ แบ่งตามประเภทวัสดุ มี 2 ชนิด
1. คอมโพสิทวีเนียร์ (Composite veneer)
ใช้วัสดุประเภท “คอมโพสิท เรซิน” ชนิดเดียวกันกับที่ใช้อุดฟัน (วัสดุสีเหมือนฟัน) มีความสวยงาม เป็นธรรมชาติ และราคาประหยัดกว่าแบบเซรามิก
2. เซรามิกวีเนียร์ (Ceramic veneer)
ใช้วัสดุประเภท “เซรามิก” มีความสวยงาม ใส เป็นธรรมชาติ และแข็งแรงมากกว่า เป็นที่นิยมมากกว่าแบบคอมโพสิท มีราคาสูงกว่า
กรณีใด ที่จำเป็นต้องทำการแปะผิวหน้าฟัน ?
- ฟันมีสีเข้มหรือคล้ำไม่สวยงาม
- ฟันมีรูปร่างไม่สวยงาม
- ฟันมีตำแหน่งการเรียงตัวไม่สวยงาม และไม่ต้องการจัดฟัน
- ฟันมีสีผิวที่ไม่สม่ำเสมอ
- ฟันตกกระจาก Tetracyclin stain หรือ Fluorosis
- ฟันตกกระจากความผิดปกติโดยกำเนิด
รายละเอียดขั้นตอนในการแปะผิวหน้าฟัน
วีเนียร์ แบ่งตามขั้นตอนการทำ มี 2 ชนิด
1. Direct veneer
เป็นการรักษาขั้นตอนเดียว โดยจะทำกรอผิวหน้าฟันออกบางๆ แล้วอุดทับแทนที่ด้วยวัสดุคอมโพสิท ในครั้งเดียวกันเลย ข้อดีคือประหยัดเวลาและรวดเร็ว ราคาประหยัดที่สุด
2. Indirect veneer
เป็นการรักษาที่มีอย่างน้อย 2 ขั้นตอน โดยครั้งแรกทันตแพทย์จะทำการกรอผิวหน้าฟันออก และพิมพ์ปาก เพื่อนำไปผลิตชิ้นงาน โดยระหว่างนี้จะมีการแปะผิวฟันชั่วคราวไปก่อน ครั้งที่ 2 เมื่อทำชิ้นงานเสร็จแล้ว (ใช้เวลาอย่างน้อย 7 วัน) จึงจะนำชิ้นงานมายึดถาวร ติดกับผิวหน้าฟัน ข้อดีคือจะมีความละเอียด สวยงามและแข็งแรงกว่าแบบ Direct veneer
ราคาแปะผิวหน้าฟัน
- Direct composite veneer ราคา ซี่ละ 3,000-5,000 บาท
- Indirect composite veneer ราคา ซี่ละ 5,000-8,000 บาท
- Indirect ceramic veneer ราคา ซี่ละ 10,000 บาท
